Dental fissure sealants and dental fillings are both used in modern dentistry, but the fissure sealant is used more to prevent disease, while the filling is used to restore a damaged tooth after it is decayed or broken.
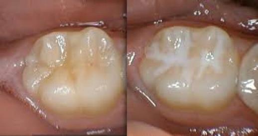
Fissure sealants are a preventive treatment mainly used on the chewing surfaces of molars and premolars. The molars, in particular, often have deep grooves (or fissures) where food particles and bacteria can accumulate, making them prone to decay. At Power Dental Practice, your dentist or Oral Health Therapist may recommend you have you or your child have these teeth sealed. We do so with a thin, protective plastic layer of filling material. This acts as a barrier, sealing out plaque and food, and are most commonly applied to children's teeth not long after their permanent molars erupt. There is no drilling away of any tooth with a fissure sealant. Here is what it looks like before and after:

Fissure sealants are long-lasting but will wear away gradually over time and may need repair or replacement after a number of years.
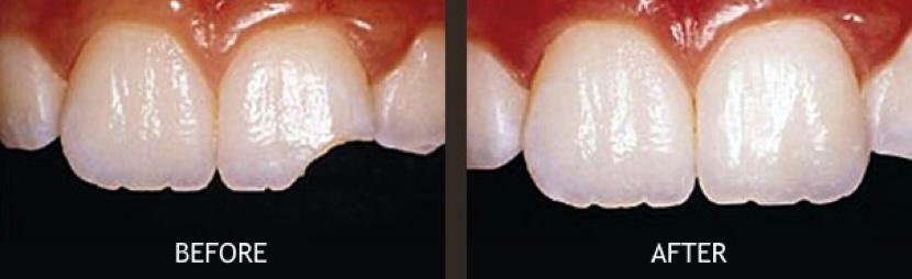
In contrast, dental fillings are used to repair teeth that are already broken and/or decayed. When decay is present, the dentist removes the affected area of the tooth and fills the space with materials such as composite resin, the amount of filling material used can be many times more than that used in a fissure sealant. Fillings usually build the tooth back to its original size and shape and prevent further decay. Here are a couple of examples:


So, the key difference lies in their purpose: sealants prevent cavities before they start and are used on the biting surface of healthy teeth (usually younger patients). However, fillings repair existing damage and typically require the removal of decayed tooth or old fillings. Fillings can be small or large and can be placed on any surface of a tooth
If you have any further questions, feel free to ask your Dentist or Oral Health Therapist the next time you visit us at Power Dental Practice!