Many people come into Power Dental Practice every year quite concerned about hard lumps in their mouths. It is good to check these things out. As a rule, if the surface is not ulcerated it is more likely to be a normal part of your anatomy. However, it is a good idea to ask your dental practitioner at your regular check-up.
There are some common locations in the mouth where we would usually find a bony lump (or torus):
1. In the middle of the roof of your mouth (palate). Here is a picture of Dr Power’s torus palatinus:

2. In the floor of the mouth, on the inside of the lower jaw next to the tongue. Here is a picture of one of the staff’s Torus Mandibularis:

And here is a larger Torus Mandibularis from Wikipedia:

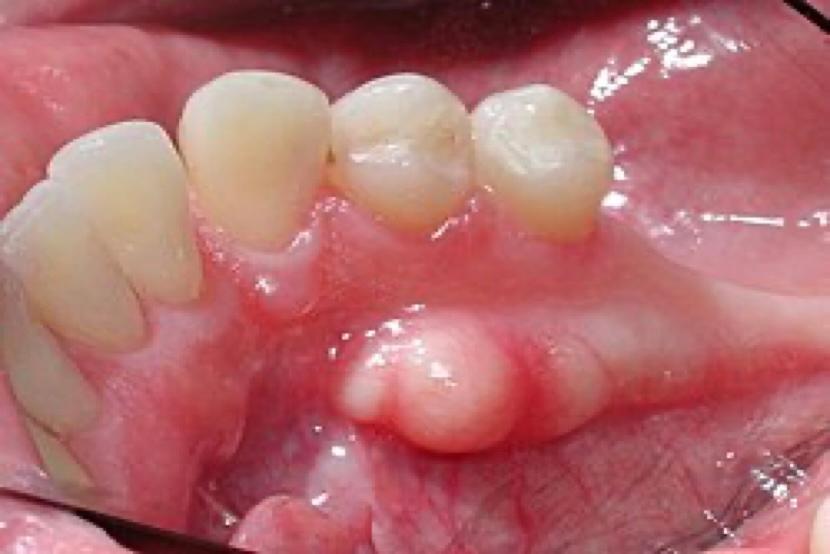
3. On the side of the lower molar teeth. Here is a picture of one of these in Dr Power’s mouth:

The good news is that all of the pictures shown above are completely normal and are no more likely to change into anything abnormal than any other part of the mouth. The bad news is that they will continue to grow over our lifetime. The larger ones can get in the way and can get scratched by sharp foods or toothbrush head, or when taking impressions in the mouth, or when wearing a denture (if a person has one).
In the case of wearing a denture it can be tricky, so that your dentist will need to cut the denture away from that area. In some cases, the lump is so large that it makes wearing a denture impossible. In these instances, we refer the person to see an Oral Surgeon to have the bony lump reduced or removed completely.
So, the vast majority of bony lumps are completely normal, but your dental practitioner will be able to tell you if yours is. Make sure you ask him/her at your next check up at Power Dental Practice - book in here!