After we straighten people’s teeth at Power Dental Practice with either braces or orthodontic aligners the teeth will want to go back to where they originally were - we call this orthodontic relapse. Here is a typical photo:

After treatment is complete, we issue our patients with 2 sorts of retainers: removable retainers (plate-style) and fixed wires on the inside of the front teeth. They are usually on the lower teeth but sometimes on the upper teeth, as well, or instead. However, a few people with fairly straight teeth opt to have lingual wires to prevent movement.
Removable retainers are really a thicker, more long-lasting version of tooth aligners. Here is a picture of upper and lower removable orthodontic retainers.

Removable retainers are an excellent way of keeping your teeth in place after finishing orthodontic treatment. Some people choose to wear only the removable retainers, but they will need to do so almost every night to be sure their teeth don’t move back to where they were.
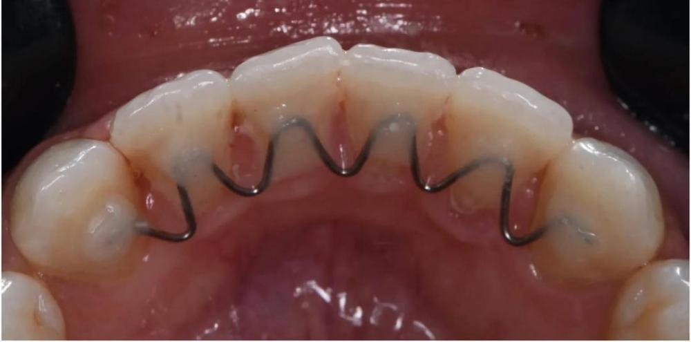
However, most people do not want to wear their removable retainers long-term, so we usually apply fixed wires on the inside of their teeth. They remain life-long. Dr Power has a fixed lingual wire behind his front teeth - you would never know!!! There are 2 designs of lingual wires we use at Power Dental Practice: straight and zig-zag. Both are made of stainless steel.
Here is a picture of the straight wire:

And here is a picture of a zig-zag wire:

The advantage of the straight wire is that it is more flush against the teeth but you cannot floss all the way between the teeth. To clean under this you will need to use a special floss-threader (e.g. superfloss) or and interdental brush (e.g. pixster) While the advantage of the zig-zag is that it allows you to floss fully between the teeth, but some people don’t like the “feel” of it. Dr Power has the zig-zag wire option.
Ask your treating dentist or hygienist at Power Dental Practice for more advice on fixed wire retainers!